回到主页

什么叫全数字化种植修复

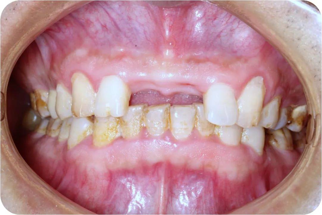
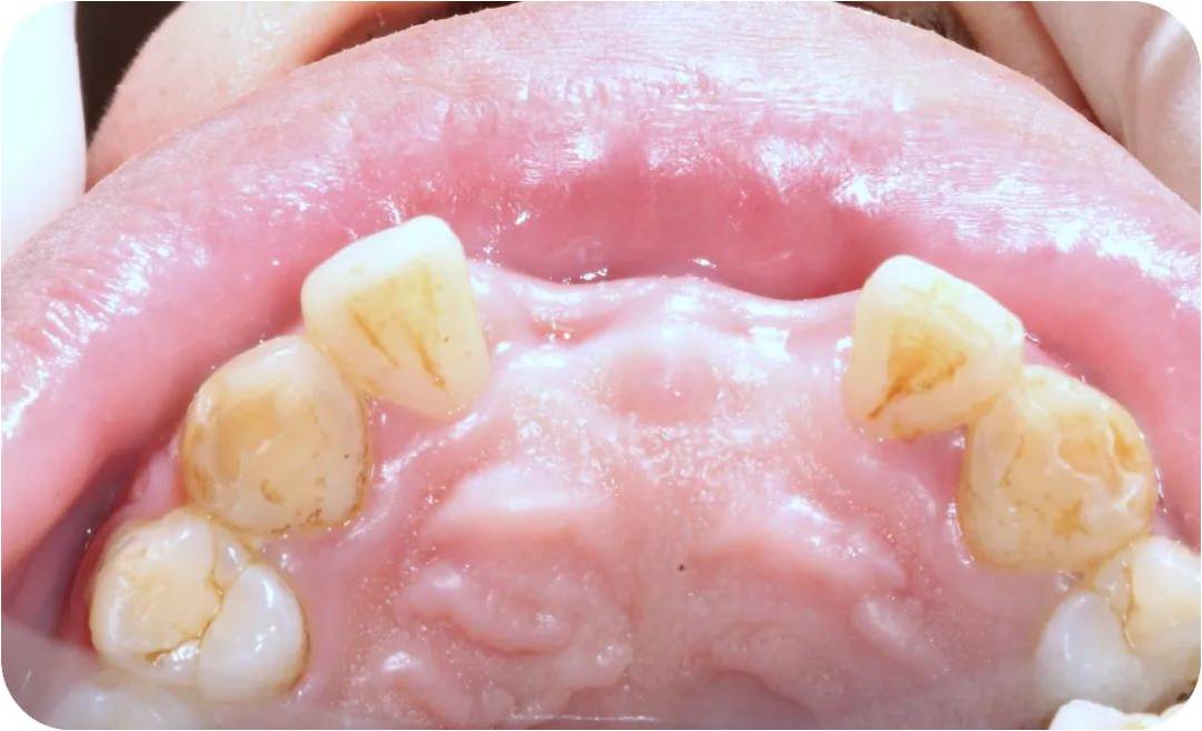
男性,三个月前因门牙根折裂而拔除,现要求通过种植技术修复。

Section image
Section image

第一步:口内3D扫描和CT三维X光拍摄

Section image
Section image

第二步:在电脑上将拍摄的二组数据整合在一起,即将3D口扫到的口内牙龈等软组织形态和CT拍摄到的牙槽骨等硬组织放在一起,在电脑上既看得到牙槽骨又看得到牙龈,并且是立体的,这样我们就可以在电脑上根据软硬组织的情况和种植技术的要求,以及咬合情况来设计种植体应该种植的位置和方向。

Section image
Section image

而后就可以打印生成一个用于种植手术时确定方向和位置的导航器,我们称为手术导板。

Section image

同时模拟种植体在手术后的精准位置,在电脑上再设计出临时牙的大小和形态,也通过3D打印技术预先制作一个临时牙齿。

Section image
Section image

第三步:种植手术

按照我们事先规划好的种植方向和位置,就可以在种植手术导板的引导下进行手术了。此时的手术不需要大范围的切开牙龈,只需在种植的位置做一个与种植体直径一样大小的圆形切口就可以开展手术了,这就是微创。

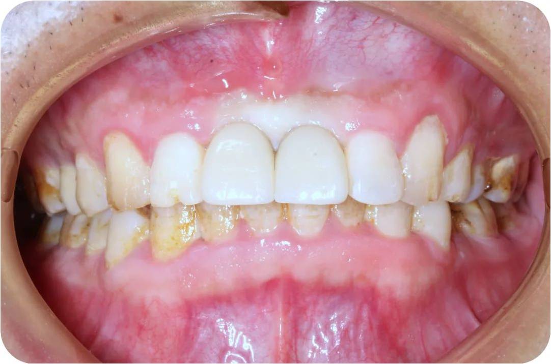
种植体植入后即刻就可以把已经事先做好的临时假牙安装上去,做到精准到位,患者也可以实现手术后不缺牙的目的。

Section image

第四步:最终二期修复

在经过约2-3个月的愈合期后,取下临时假牙,用专用的仪器进行种植体愈合情况测试,到达一定的指标后就可以开始做最终的牙冠修复了。

Section image

在进行牙冠修复之前需要有一个模型,以前往往都是通过取模后灌制石膏做成石膏模型来制作,极不方便。而现在我们同样可以通过3D扫描来制取口内的立体数字化模型,在电脑上生成,并在电脑上制作牙冠,最后通过3D切割技术制作出成品。

Section image
Section image
Section image
Section image
Section image

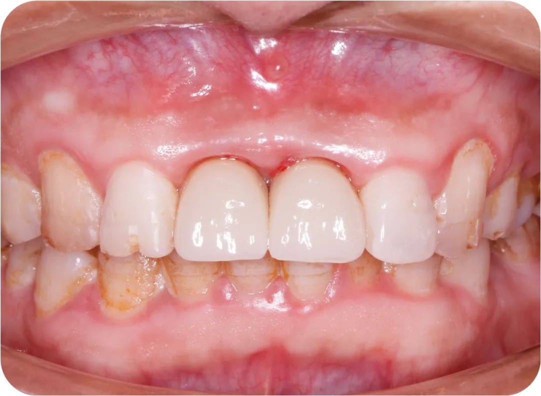
第五步:戴入最终牙冠

Section image

总结

数字化种植技术的优点是:

1、精准。由于术前已经规划好了种植的方向和位点,手术时只要按照步骤进行,植入后误差是非常小的。

2、快速。手术像搭积木一样进行,因此节约了很多时间。

3、微创。手术时不需要切开牙龈,术后反应轻,几乎没有疼痛和肿胀。

4、最终修复时采用扫描技术既可以避免传统取模引起的恶心等不适感,而且又可以减少石膏模型变形带来的误差。