回到主页

抽牙神经后为什么要做牙套?

牙齿由牙釉质、牙本质、牙骨质和牙髓四部分组成。牙釉质是人体中最硬的组织,覆盖在牙冠表面,呈乳白色、略透明、质坚硬,能耐受强大的嚼力。无机盐约占96%,其中主要成分是磷酸钙、碳酸钙等。有机物成分仅占很少量。

Section image

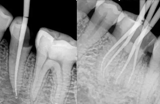
牙髓位于牙髓腔内,包含牙神经、血管和淋巴管等。通过血液供应系统获得营养,并通过成牙本质细胞及其突起向牙本质供应营养。牙齿出现损坏或者神经发炎,一般可以通过根管治疗的方式改善。根管治疗俗称“杀神经治疗”,是治疗牙髓病和根尖周病最常用、最有效的方法。主要是将牙神经杀死,将牙齿里面的牙髓组织抽取,然后通过药物填充保护牙齿。

Section image

牙齿摘除牙髓后,就失去了牙髓内血管输送的营养供给,仅靠牙周组织维系供给。随着时间的延长,牙体组织变得干燥和酥脆,颜色发黑变暗,经常发生崩折。同时,根管治疗需要磨除部分牙体组织,会降低牙体组织的抗力。

Section image

磨牙承担的咬合力较大,发生劈裂的风险较高;前磨牙颈部缩窄,容易从牙颈部折断;前牙受侧向力,也容易折断;而牙齿劈裂或折裂后往往难以修复,常需进行牙齿拔除。因此,不论哪类牙齿接受根管治疗后,都建议进行牙冠保护,以避免不良情况发生。

 

Section image

总结:

根管治疗后通常要尽快做牙套,牙套能够对牙齿起到保护作用,避免牙齿发生崩裂或者脱落,可以延长牙齿的使用时间。